
Understanding Root Canal Treatment
Everything you need to know about root canal therapy and why it's not as scary as you think.
Read More
Dental Surgeon & endodontist
Class of 2025
Now working as Operator at MICKY clinic
Graduated: 2025
Master in Oral & Maxillofacial Surgery-for test
(2027)Started Faculty of Dentistry
Graduated with Excellence
Internship at University Hospital
Started Working at MICKY Clinic
Opened Private Practice




Before & After Gallery


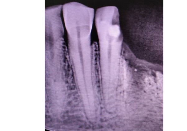
Root canal treatment with crown restoration


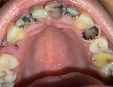
Complex endodontic case


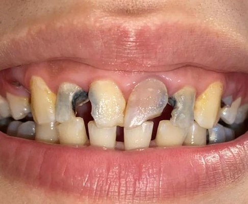
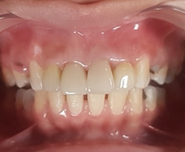
Full E-MAX 4 crowns restoration


Full E-MAX 4 crowns restoration
Insights and Knowledge

Everything you need to know about root canal therapy and why it's not as scary as you think.
Read More
Discover how dental veneers can transform your smile and boost your confidence.
Read MoreLet's connect and collaborate